
DMG 新型微创治疗流程
整体产品组合为治疗儿童和青少年发育性牙釉质浑浊症提供了一种温和有效的解决方案,从预防到使用定制 3D 打印漂白托盘进行预漂白处理,再到最终渗透:
- Flairesse Prophylaxis System 中的 Paste、Gel、Foam 和 Varnish 可为工作流程、清洁牙齿表面、牙釉质再矿化和封闭敏感牙齿提供所需支持。
- 新型 CP 5% 和 CP 10% Flairesse Bleaching Gel 可确保牙齿温和美白。
- 3D 打印确保带凝胶储液槽的 3D DentaMile 漂白托盘适合每位患者,并保护牙龈。
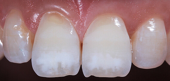
- 漂白联合 Icon Vestibular 渗透性治疗可产生显著影响,在保留健康牙体组织的同时,实现可持续的美学修复。
Icon Vestibular
以美观而温和的手法治疗 MIH、白斑、氟斑牙和外伤
微创,保留健康牙齿结构
一次完成,对使用者和患者均具亲和力
新手包: Icon Vestibular, 2 个独立包装
1 支注射器 @ 0.45 毫升 Icon Etch
1支注射器 @ 0.45 毫升 Icon Dry
1 支注射器 @ 0.45 毫升 Icon Infiltrant
6个 Icon Vestibular Tips + 1 个 Luer Lock Tip
参考 220343
新手包: Icon Vestibular, 7 个独立包装
1 支注射器 @ 0.45 毫升 Icon Etch
1支注射器 @ 0.45 毫升 Icon Dry
1 支注射器 @ 0.45 毫升 Icon Infiltrant
6个 Icon Vestibular Tips + 1 个 Luer Lock Tip
参考 220238
补充装: Icon Etch
3 支注射器 @ 0.45 毫升 Icon Etch
15个 Icon Vestibular Tips
参考 220384
产品手册
-
Icon Vestibular产品说明书
使用说明
-
Icon Vestibular使用说明
-
Icon Vestibular 酸蚀使用说明
用户报告
-
Icon,Icon Vestibular用户报告
病例报告
-
Icon VestibularCasebook
安全数据表
-
Icon Infiltrant安全数据表
-
Icon Dry安全数据表
-
Icon EtchSicherheitsdatenblätter